Skoften logo
Skoften logo
profielfoto
Nieuw Trending Virals Hot shots Nieuws Fails Gekkies Celebs tv Fun Shownieuws Verkeer Picdumps Gifdumps
Meer

Categorieën

  • Alle artikelen
  • AI
  • Automotive
  • Bizar
  • Celebs
  • Classics
  • Crypto
  • Dieren
  • Documentaire
  • Fails
  • Films & Series
  • Fun
  • Gaming
  • Gekkies
  • Gifdumps
  • Hot shots
  • Influencers
  • Klussen met klara
  • Knokken
  • Lifestyle
  • Monsterhits
  • Muziek
  • Natuur
  • Nieuws
  • Picdumps
  • Politiek
  • Random
  • Shownieuws
  • Skoften.tv
  • Sloopservice
  • Sport
  • Tech
  • TV
  • Verkeer
  • Virals

Typisch Skoften

  • Videokanaal
  • Eindeloze picdump
  • Eindeloze gifdump
  • Sloopservice

Populaire picdumps

  • Bizarre Tinderprofielen
  • Mijn man is een prutser
  • Marktplaats-gesprekken
  • Photoshop fails
  • Roasts
  • Hot shots
Het blijft fascinerend om te zien hoe mee-eters eruit worden gepulkt Random
Auteur
Door Blije
op 22/08/2019

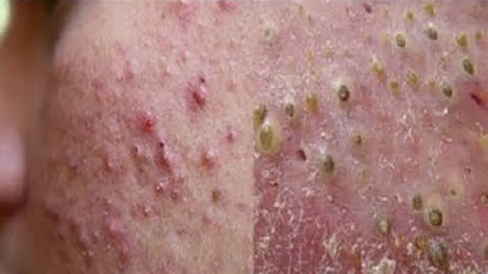
Het blijft fascinerend om te zien hoe mee-eters eruit worden gepulkt


Sommigen vinden het gruwelijk fascinerend en komen helemaal tot rust als ze zien hoe ingegroeide haren eruit worden getrokken of hoe rijpe puisten worden gepopt. Vandaag hebben we een miljoen mee-eters op het menu. #smullen

Deze dingen wil je niet missen


Meer over
mee-eters huid fetisj ranzig rustgevend
Delen

Video van de dag

videokanaal

Reacties

Gerelateerd

'Blazy' heeft bijzondere voorkeur van haar eten naar binnen werken

'Blazy' heeft bijzondere voorkeur van haar eten naar binnen werken

‘Schoenenlikker’ spreekt jonge vrouwen aan in trams rond Utrecht

‘Schoenenlikker’ spreekt jonge vrouwen aan in trams rond Utrecht

Toch wel enigszins disturbing: Schoenensnuiver gespot in Engeland

Toch wel enigszins disturbing: Schoenensnuiver gespot in Engeland

Is dit de meest ranzige studentenkamer van Nederland?

Is dit de meest ranzige studentenkamer van Nederland?

Lale gül klust bij door foto's van haar voeten te verkopen: 'Misschien dat ik het nog eens doe'

Lale gül klust bij door foto's van haar voeten te verkopen: 'Misschien dat ik het nog eens doe'

Populair

Picdump (4545)

Picdump (4545)

Timmy doet dansje met zijn zus en is ineens hét gesprek van het schoolplein

Timmy doet dansje met zijn zus en is ineens hét gesprek van het schoolplein

Het levende bewijs dat looks en hersens niet altijd samenkomen

Het levende bewijs dat looks en hersens niet altijd samenkomen

Emma schuift aan bij sollicitatiegesprek met poepbroek omdat wc-papier op is

Emma schuift aan bij sollicitatiegesprek met poepbroek omdat wc-papier op is

Parkeren in Amsterdam: Je kan er een tweede hypotheek voor afsluiten

Parkeren in Amsterdam: Je kan er een tweede hypotheek voor afsluiten

Rubrieken

  • Fun
  • Picdumps
  • Fails
  • Random
  • Nieuws
  • Hot shots
  • Verkeer
  • TV
  • Gifdumps
  • Dieren
  • Shownieuws
  • Sport
  • Gekkies
  • Muziek
  • Virals
  • Blogs

Tags

  • fail
  • picdump
  • Amerika
  • gifdump
  • verkeer
  • humor
  • politie
  • tv
  • CCTV
  • auto
  • Instagram
  • voetbal
  • Rusland
  • girls
  • TikTok

Personen

  • Donald Trump
  • Johan Derksen
  • René van der Gijp
  • Geert Wilders
  • Jake Paul
  • Elon Musk
  • Wilfred Genee
  • Alex Soze
  • Jutta Leerdam
  • Peter Gillis
  • Joost Klein
  • Gordon
  • Thierry Baudet
  • Nicol Kremers
  • Joe Biden

Bro's

  • Videodump
  • DIKS Autoverhuur
  • NieuwNieuws
  • Geenstijl
  • Donnies Webshop
  • Bookmakers Nederland
  • Voetbalgokken
  • Picdumps
  • Gifdumps

Volgen

  • Facebook
  • Instagram
  • Twitter
  • TikTok
  • RSS Feed

App

  • Android
  • iOS
Skoften logo

Privacy   Cookies    Contact   Over Skoften

Alleen voor leden

Dit artikel is alleen te bekijken als je bent ingelogd. Ben je dat niet, dan kan dat hier. Heb je nog geen account, maak die dan hier gratis aan. No strings attached en het is in een paar tellen geregeld.

Vragen? App of mail ons.